Endodontic Dentistry
Root canal treatment of teeth is the most common of all Dental procedures. The inside of a tooth can become diseased or infected due to Decay, A very deep filling Periodontal disease. A severe trauma to the tooth such as a fall or accident Any one of these causes may result in swelling and pain, or sometimes a slow painless degeneration may occur. These events eventually cause destruction of the bone of the tooth socket and result in an abscess. The aim of root canal therapy is to remove the source of the infection from within the tooth. Once this is done and the destructive process is stopped, your normal healing can then take over.
Our Treated Patients’ X Rays
Bleaching – Teeth Whitening
Teeth whitening is one of the conservative solutions provided by dentists in regards to whitening teeth that are stained and discolored. Some of the reasons for staining of Teeth- consuming wine and coffee, smoking, and even taking some types of medication.
Teeth whitening is usually effective and is one of the answers to brightening teeth that have been stained. This procedure is also known as BLEACHING and it brightens the teeth. The procedure is safe, easy to use, and more affordable than ever before.
We provide safe methods for bleaching teeth. This technique works great for a single discolored tooth as well apart from the whole set that is normally preferred.
Our Treated Happy Patients
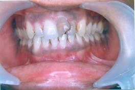
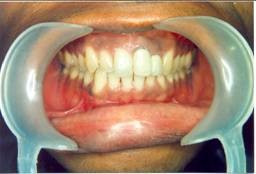
Smile Designing
Smile Designing is the art of bringing about great changes in the anterior teeth by reshaping, adding tooth coloured material, crowning, etc. so that the smile becomes more aesthetic and pleasing.
Dental Tourism
Dental Tourism is a term that is rapidly drawing attention in India, the reason being that while a person is undergoing Dental treatment of world standards here at our Dental Clinic , can also get to enjoy the exotic locations that India has to offer, ensuring that the overall experience of the patient is a pleasurable one. It can be defined as a type of tourism in which people travel to India to improve their health by getting dental, medical and surgical care while at the same time they can experience a vacation and totally come into contact with the attractions of India. A person from any part of the world can get his dental treatment done at a fraction of the cost in many countries.
At our clinic we do not compromise on the quality of treatment even though it remains cost effective. Apart from that, we in accordance with our travel partners, can arrange your entire stay, ticketing and accommodation while your treatment is being done. We arrange your day wise itinerary, plan your sight-seeing, shopping, etc, side by side with your treatment.









